Back to the Gastrointestinal Image Gallery
Collages
The Gastrointestinal Video Gallery

The Gastrolab Video Gallery

    High Resolution Video:
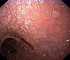
    Duodenal Mucosa in Coeliac Disease

You might also be interested in:

VIDEO: Duodenal Diverticulum
VIDEO: Duodenal Lymphangiectasia
VIDEO: Duodenal Mucosa in Coeliac Disease
VIDEO: Duodenal Mucosa in Coeliac Disease
Duodenal Diverticulum (Slides)
Duodenal Mucosa in Coeliac Disease
Duodenal Mucosa in Coeliac Disease (Slides)
Duodenal Mucosa in a Severe Untreated Coeliac Disease (Slides)