Back to the Gastrointestinal Image Gallery
Collages
The Gastrointestinal Video Gallery

The Gastrolab Image Gallery

Campylobacter-Colitis


Campylobacter-Colitis. Just click on a picture!

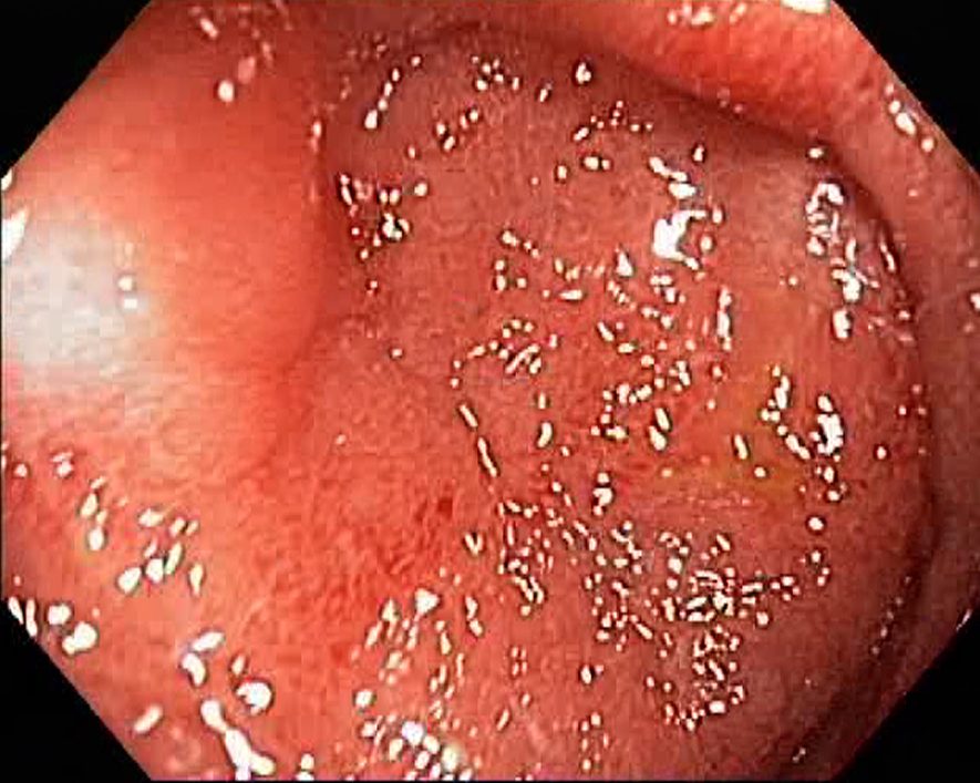
Campylobacter-Colitis

Campylobacter-Colitis

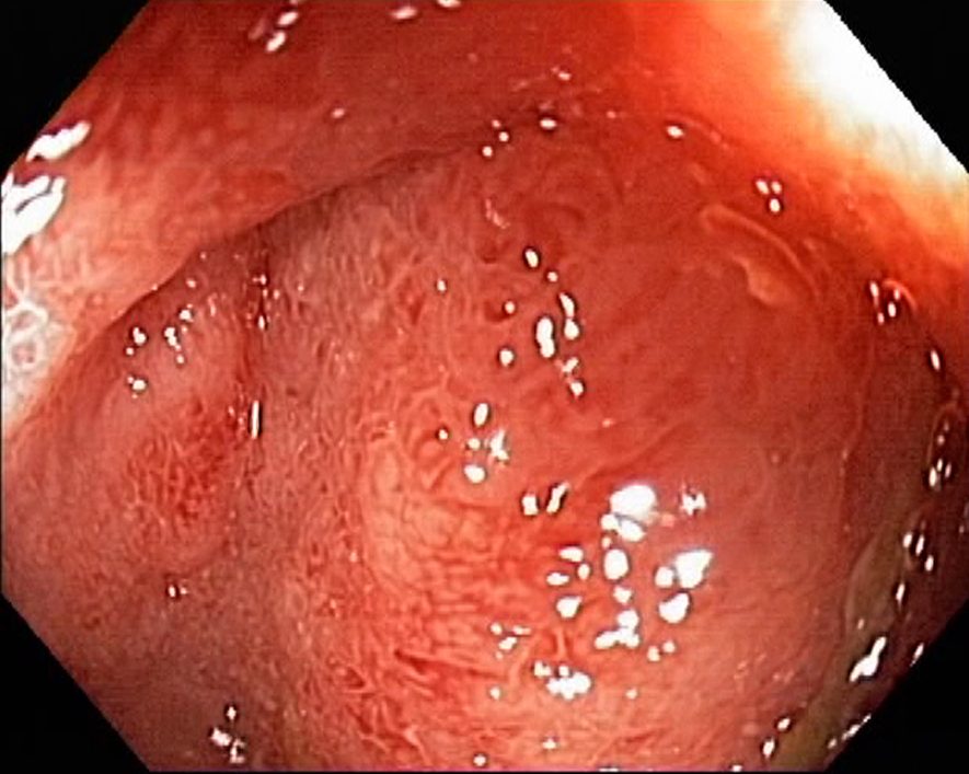
Campylobacter-Colitis

Campylobacter-Colitis

Campylobacter-Colitis


Campylobacter-Colitis

You might also be interested in:

Crohns Disease in the Terminal Ileum
Crohns Disease: A Stenotic Ileocaecal Valve
Crohns Disease: Inflammatory Polyposis in the Transverse Colon
A Severe Rectal Crohn
Asacol Tablets in the Caecum