Back to the Gastrointestinal Image Gallery | 
![]() Severe Rectal Crohn  | 
![]() Severe Rectal Crohns Disease. Just click on a picture!  | 
![]() Severe Rectal Crohns Disease  | 
![]() Severe Rectal Crohns Disease  | 
![]() Severe Rectal Crohns Disease  | 
![]() Rectal Crohns Disease  | 
![]() Rectal Crohns Disease  | 
![]() Rectal Crohns Disease  | 
![]() Rectal Crohns Disease  | 
![]() Rectal Crohns Disease  | 
![]() Rectal Crohns Disease  | 
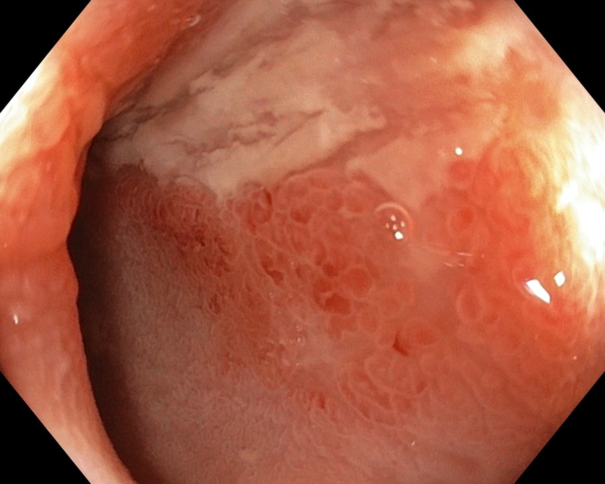
Severe Rectal Crohns Disease
 
 | 
Collage: Crohn´s Disease | 
![]()  | 
![]()  | 
![]()  | 
![]()  | 
![]()  |