Back to the Gastrointestinal Image Gallery
Collages
The Gastrointestinal Video Gallery

The Gastrolab Image Gallery

Colon Descendens, the Descending Part of the Large Bowel


Colon descendens


Colon descendens


Colon descendens


Colon descendens


Colon descendens


Colon descendens


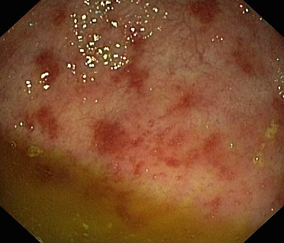
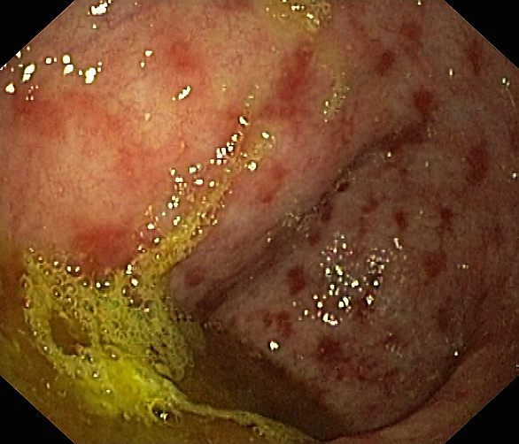
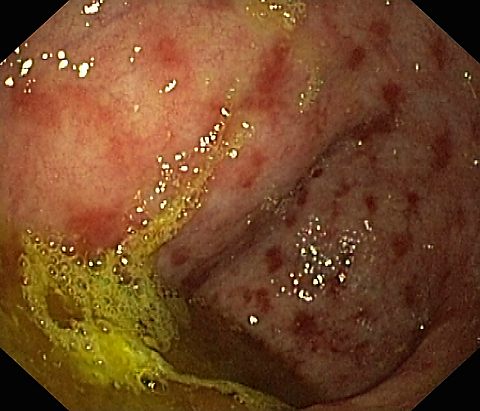
Aphthous and somewhat larger lesions in the descending colon of a patient with Crohns disease


Aphthous and somewhat larger lesions in the descending colon of a patient with Crohns disease


Tubular adenoma in the descending colon


Tubular adenoma in the descending colon


Tubular adenoma in the descending colon


Tubular adenoma in the descending colon - endoscopic polypectomy


Tubular adenoma in the descending colon - scar after endoscopic polypectomy

You might also be interested in:

A Distal Ulcerative Colitis
A Severe Ulcerative Colitis, Sigmoid Colon
Ulcerative Colitis, Mucosal Scars
Ulcerative Proctitis
Asacol Tablets in the Caecum
Normal Ascending Colon
Normal Ascending Colon
Normal Hepatic Flexure
Diverticulosis in the Sigmoid Colon
Diverticulosis in the Sigmoid Colon
Caecal Cancer (Adenocarcinoma)
Caecal Cancer (Adenocarcinoma)
Caecal Cancer and a Tapeworm
Large Cancer (Adenocarcinoma)
Colon Cancer (Adenocarcinoma)