Back to the Gastrointestinal Image Gallery
Collages
The Gastrointestinal Video Gallery
The Gastrolab Image Gallery
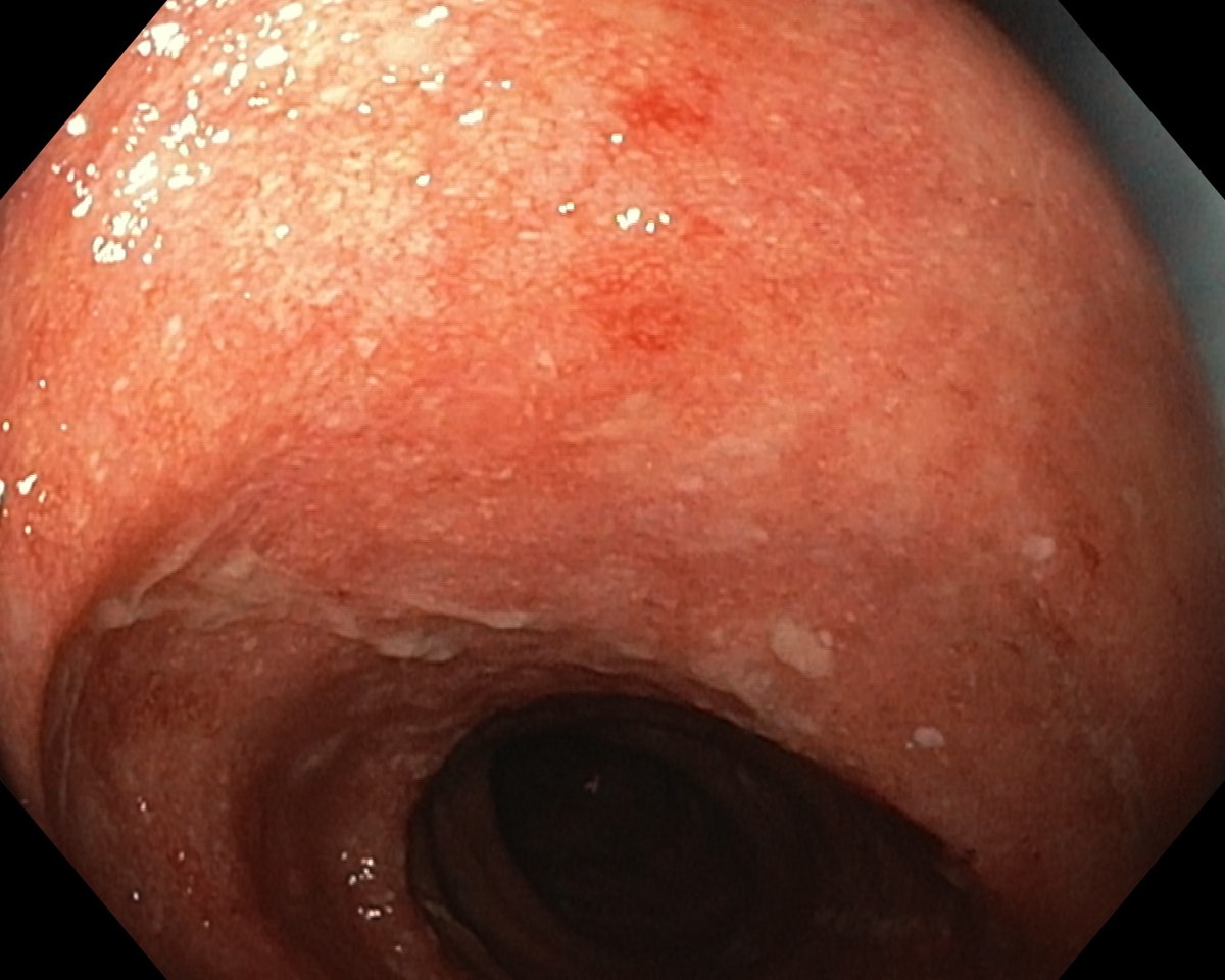
A Distal Ulcerative Colitis, Proctosigmoiditis Ulcerosa
A Distal Ulcerative Colitis.
Just click on a picture!
A Distal Ulcerative Colitis
A Distal Ulcerative Colitis
A Distal Ulcerative Colitis.
Just click on a picture!
A Distal Ulcerative Colitis.
Just click on a picture!
A Distal Ulcerative Colitis.
Just click on a picture!
A Distal Ulcerative Colitis.
Just click on a picture!
A Distal Ulcerative Colitis.
Just click on a picture!
A Distal Ulcerative Colitis.
Just click on a picture!
A Distal Ulcerative Colitis.
Just click on a picture!
A Distal Ulcerative Colitis.
Just click on a picture!
A Distal Ulcerative Colitis.
Just click on a picture!
A Distal Ulcerative Colitis.
Just click on a picture!
A Distal Ulcerative Colitis.
Just click on a picture!
A Distal Ulcerative Colitis
A Distal Ulcerative Colitis
You might also be interested in:
Collage:
Ulcerative Colitis
Ulcerative Colitis, Mucosal Scars
Ulcerative Proctitis
Crohns Disease: Inflammatory Polyposis in the Transverse Colon
Diverticulosis in the Sigmoid Colon
Pseudomelanosis Coli