Back to the Gastrointestinal Image Gallery
Collages
The Gastrointestinal Video Gallery

The Gastrolab Image Gallery

Caecal Angiodysplasia

This free script provided by
JavaScript Kit


Caecal Angiodysplasia. Just click on a picture!

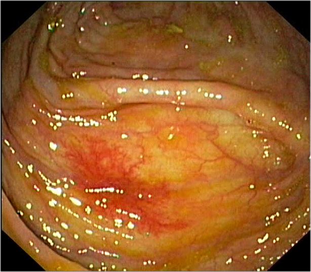
Caecal Angiodysplasia

Caecal Angiodysplasia

Caecal Angiodysplasia

Caecal Angiodysplasia

Caecal Angiodysplasia

Caecal Angiodysplasia

You might also be interested in: