Back to the Gastrointestinal Image Gallery
Collages
The Gastrointestinal Video Gallery

The Gastrolab Image Gallery

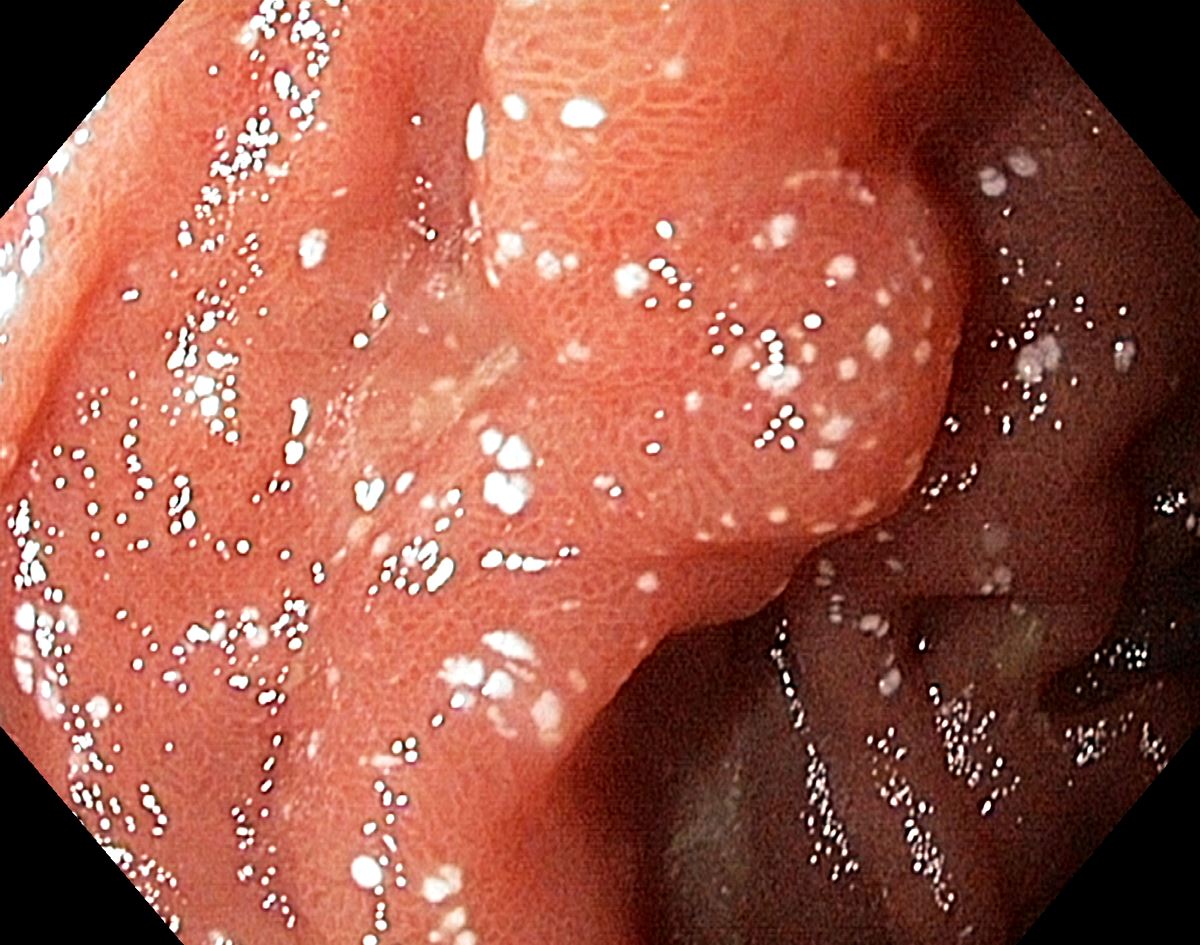
Duodenal pinpoint lymphangiectasias

This free script provided by
JavaScript Kit


Duodenal pinpoint lymphangiectasias Just click on a picture!

Duodenal pinpoint lymphangiectasias

Duodenal pinpoint lymphangiectasias

Duodenal pinpoint lymphangiectasias

Everything You need to know about duodenal lymphangiectasias: Clinical significance of duodenal lymphangiectasia incidentally found during routine upper gastrointestinal endoscopy

You might also be interested in:

Duodenal Diverticulum (Slides)
Duodenal Mucosa in Coeliac Disease
Duodenal Mucosa in Coeliac Disease
Duodenal Mucosa in Coeliac Disease (Slides)
Duodenal Mucosa in Whipples Disease