Back to the Gastrointestinal Image Gallery
Collages
The Gastrointestinal Video Gallery

The Gastrolab Image Gallery

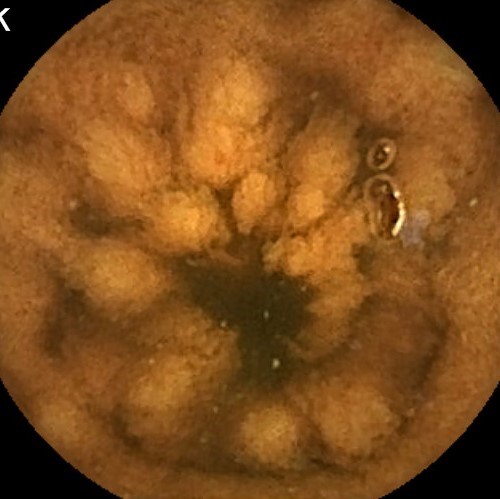
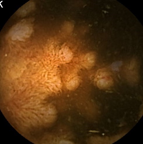
Capsule Endoscopy: Ileum Terminale, Lymphoid Hyperplasia


Capsule Endoscopy: Ileum Terminale, Lymphoid Hyperplasia. Just click on a picture!

Capsule Endoscopy: Ileum Terminale, Lymphoid Hyperplasia

Capsule Endoscopy: Ileum Terminale, Lymphoid Hyperplasia

Capsule Endoscopy: Ileum Terminale, Lymphoid Hyperplasia

Capsule Endoscopy: Ileum Terminale, Lymphoid Hyperplasia

Capsule Endoscopy: Ileum Terminale, Lymphoid Hyperplasia


Capsule Endoscopy: Ileum Terminale, Lymphoid Hyperplasia

You might also be interested in: