Back to the Gastrointestinal Image Gallery
Collages
The Gastrointestinal Video Gallery

The Gastrolab Image Gallery

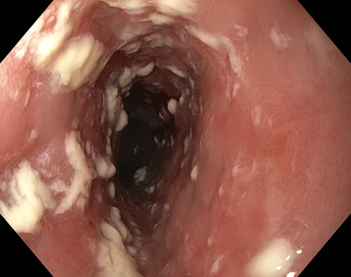
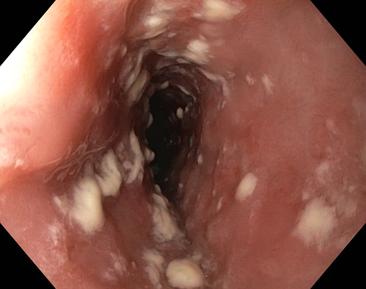
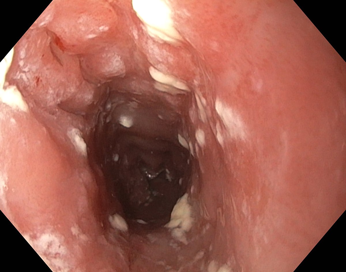
A Severe Candida Oesophagitis


A Severe Candida Oesophagitis Just click on a picture!

A Severe Candida Oesophagitis

A Severe Candida Oesophagitis

A Severe Candida Oesophagitis

Candida Oesophagitis

Candida Oesophagitis

Candida Oesophagitis

Candida Oesophagitis

Candida Oesophagitis

Candida Oesophagitis


A Severe Candida Oesophagitis

You might also be interested in:

A normal oesophagus
Oesophageal Inlet Patch
Oesphageal Diverticulum
Reflux Oesphagitis Grade B
Oesophageal Stricture caused by Reflux Disease