Back to the Gastrointestinal Image Gallery
Collages
The Gastrointestinal Video Gallery
The Gastrolab Image Gallery
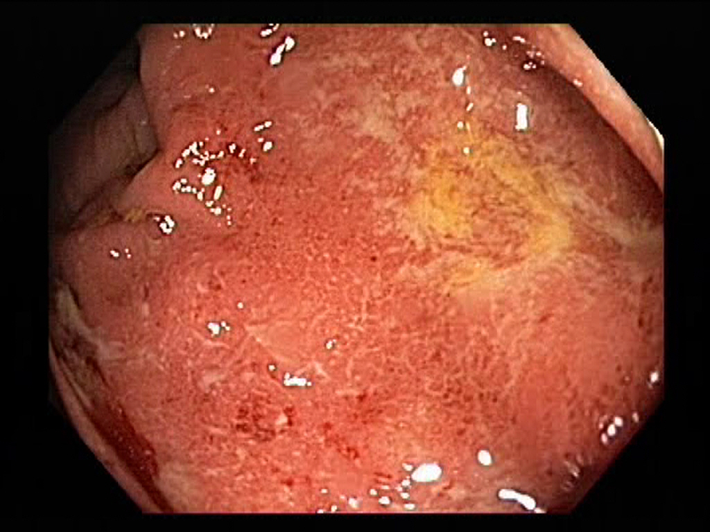
Ulcerative Proctitis
Ulcerative Proctitis.
Just click on a picture!
Ulcerative Proctitis
Ulcerative Proctitis
Ulcerative Proctitis
Ulcerative Proctitis
You might also be interested in:
Rectum
Diverticulosis in the Sigmoid Colon
Pseudomelanosis Coli
Pseudomelanosis Coli
Rectal Focal Radiation Injury
A Bleeding Rectal Cancer