The Gastrolab Image Gallery
Anus: Linea dentata (Linea anorectalis)
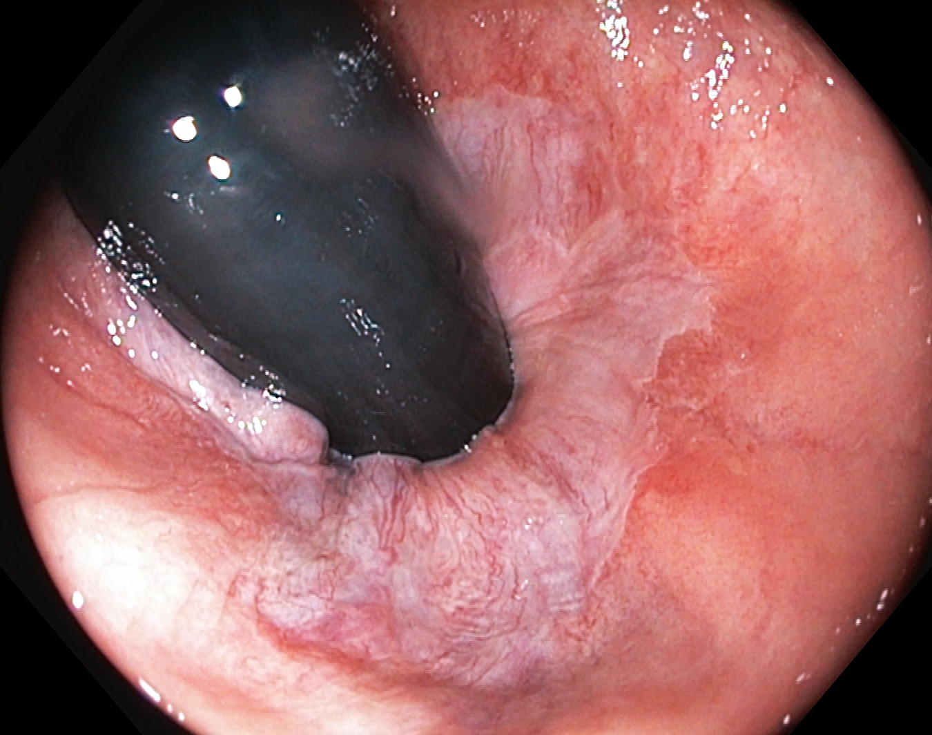
 Linea dentata/anorectalis seen with the endoscope in an inverted position
 Linea dentata/anorectalis seen with the endoscope in an inverted position
 Linea dentata/anorectalis seen with the endoscope in an inverted position
 Linea dentata/anorectalis seen with the endoscope in an inverted position
 Linea dentata/anorectalis seen with the endoscope in an inverted position
 Linea dentata/anorectalis seen with the endoscope in an inverted position
 Linea dentata/anorectalis seen with the endoscope in an inverted position
 Linea dentata/anorectalis seen with the endoscope in an inverted position
 Linea dentata/anorectalisseen through the anal canal
 Linea dentata/anorectalis (and anal fibromas) seen with the endoscope in an inverted position
You might also be interested in:
Rectal Focal Radiation Injury |
Radiation Proctitis |
Rectal Tubular Adenoma |
Rectal Tubular Adenoma, Polypectomy |
Perianal Tubulovillous Adenoma |
VIDEO: Severe Rectal Crohn |
VIDEO: Rectal Focal Radiation Injury Posttreatment |
VIDEO: Perianal Tubular Adenoma |
VIDEO: Rectal Adenoma |
VIDEO: Rectal Tubular Adenoma |
VIDEO: Rectal Focal Radiation Injury Posttreatment |
VIDEO: Perianal Tubular Adenoma |
VIDEO: Rectal Adenoma |
VIDEO: Rectal Tubular Adenoma |
|