Back to the Gastrointestinal Image Gallery
Collages
The Gastrointestinal Video Gallery

The Gastrolab Image Gallery

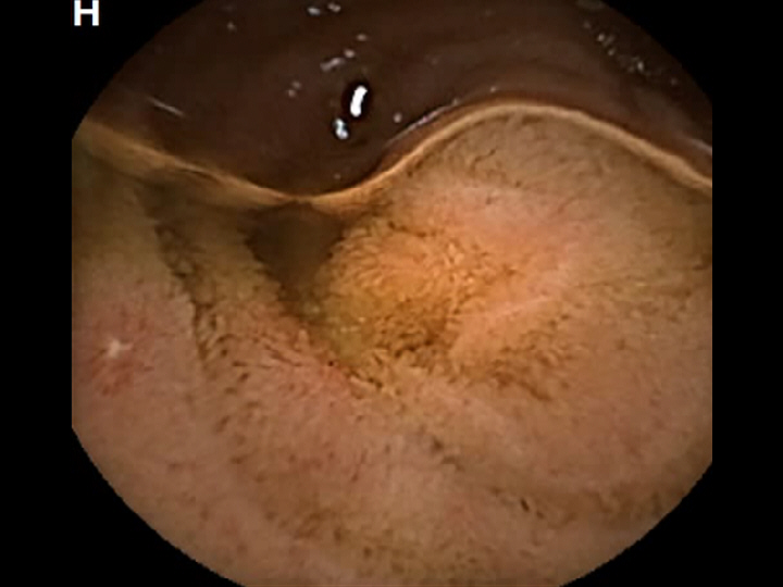
CAPSULE ENDOSCOPY: Crohns Disease: Aphthous Ulcerations in the Small Bowel


Crohns Disease: Aphthous Ulcerations in the Small Bowel. Just click on a picture!

Crohns Disease: Aphthous Ulcerations in the Small Bowel

Crohns Disease: Aphthous Ulcerations in the Small Bowel

Crohns Disease: Aphthous Ulcerations in the Small Bowel


Crohns Disease: Aphthous Ulcerations in the Small Bowel

You might also be interested in:

Capsule Endoscopy: Crohn, Small Bowel Ulcerations
Capsule Endoscopy: Crohn, Small Bowel Ulcerations
Capsule Endoscopy: Jejunal Mucosa in Whipples Disease
Capsule Endoscopy: Ileal Mucosa in Whipples Disease
Capsule Endoscopy: Ileum Terminale, Lymphoid Hyperplasia